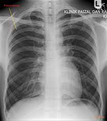
Pneumothorax / Case Report Covid 19 Associated Bilateral Spontaneous Pneumothorax A Literature Review In The American Journal Of Tropical Medicine And Hygiene Volume 103 Issue 3 2020 / Tension pneumothorax most commonly occurs in people with penetrating chest injuries.
Dapatkan link
Facebook
X
Pinterest
Email
Aplikasi Lainnya
Pneumothorax / Case Report Covid 19 Associated Bilateral Spontaneous Pneumothorax A Literature Review In The American Journal Of Tropical Medicine And Hygiene Volume 103 Issue 3 2020 / Tension pneumothorax most commonly occurs in people with penetrating chest injuries.. This may be caused by physical trauma to the lung, such as a wound. Pneumothorax nursing interventions, treatment, pathophysiology nclex review for the different types of pneumothorax: There are several variations of pneumothorax. Pneumothorax is the medical term for a collapsed lung, a condition in which air or gas is trapped in the space surrounding the lungs causing the lungs to collapse. Also known as pneumothorax, collapsed lung is a rare condition that may cause chest pain and make it hard to breathe.
This is termed spontaneous pneumothorax. Pneumothoraces can be even further classified as simple, tension, or open. Pneumothorax nursing interventions, treatment, pathophysiology nclex review for the different types of pneumothorax: Pneumothorax, also called a collapsed lung, is when air gets between one of your lungs and the wall of your chest. It is reasonably common and has many different causes.
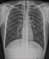
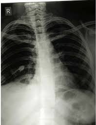
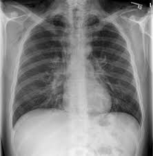
Scielo Brasil Pneumothorax As A Late Complication Of Covid 19 Pneumothorax As A Late Complication Of Covid 19 from minio.scielo.br In tension pneumothorax, patients are distressed with rapid laboured respirations, cyanosis, profuse diaphoresis, and tachycardia. The definition of a pneumothorax is an accumulation of air outside the lungs, but inside the chest wall. Tension pneumothorax most commonly occurs in people with penetrating chest injuries. In a healthy body, the lungs are touching the walls of the chest. Patients with a pneumothorax typically report dyspnoea and chest pain. A pneumothorax occurs when air leaks into the space between the lung and chest wall (called the pleural space). A small pneumothorax may cause few or no symptoms. Pneumothorax occurs when air enters the space around your lungs (the pleural space).
The etiology and diagnosis of pneumothorax, and the management of secondary spontaneous pneumothorax are discussed separately.
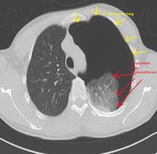
Other signals that the problem may be a collapsed lung are: Normally, the outer surface of the lung sits next to the inner surface of the chest wall. The lung and the chest wall are covered by thin membranes called pleura. It occurs when air accumulates between the parietal and visceral pleura inside the chest. Pneumothoraces can be even further classified as simple, tension, or open. A pneumothorax is an abnormal collection of air in the pleural space between the lung and the chest wall. Pneumothorax is defined as the presence of air or gas in the pleural cavity (ie, the potential space between the visceral and parietal pleura of the lung), which can impair oxygenation and/or. A pneumothorax occurs when air leaks into the space between your lung and chest wall. The pressure causes the lung to give way, at least partly. Pneumothorax is classified as spontaneous or traumatic. Hemothorax occurs when there is blood in that. This air pushes on the lung, which makes it collapse. The air accumulation can apply pressure on the lung and make it collapse.
In a healthy body, the lungs are touching the walls of the chest. A pneumothorax is a collection of air outside the lung but within the pleural cavity. It is reasonably common and has many different causes. Open pneumothorax vs closed pneumothorax. Pneumothorax, also called a collapsed lung, is when air gets between one of your lungs and the wall of your chest.
Pneumothorax Physiopedia from www.physio-pedia.com Women with catamenial pneumothorax have recurrent episodes of pneumothorax that occur within 72 hours before or after the start of menstruation. This air pushes on the outside of your lung and makes it collapse. A hole might grow in the surface of the lung. Pneumothorax (sometimes called collapsed lung) is a health problem where air or gas is in the pleural space (the space between the lung and the pleura). The pressure causes the lung to give way, at least partly. Human beings have a complete and strong mediastinum so that pneumothorax is generally unilateral and thus not a serious problem. A special form of the traumatic pneumothorax is the iatrogenic pneumothorax occurring as a result of diagnostic and/or therapeutic interventions. A pneumothorax is a collapsed lung.
Hemothorax occurs when there is blood in that.
While secondary pneumothorax is caused by an underlying pulmonary disease, the spontaneous type occurs in healthy individuals without obvious cause. When there is no apparent cause, the condition is known as spontaneous pneumothorax. Other signals that the problem may be a collapsed lung are: Pneumothorax is classified as spontaneous or traumatic. Normally, the outer surface of the lung sits next to the inner surface of the chest wall. There are several variations of pneumothorax. It occurs when air accumulates between the parietal and visceral pleura inside the chest. A tension pneumothorax can cause complete collapse of the nearby lung and can push the heart and major blood vessels to the other side of the chest. A collapsed lung requires immediate medical care. Patients with a pneumothorax typically report dyspnoea and chest pain. This air pushes on the outside of your lung and makes it collapse. The lung and the chest wall are covered by thin membranes called pleura. Also known as pneumothorax, collapsed lung is a rare condition that may cause chest pain and make it hard to breathe.
A hole might grow in the surface of the lung. Open pneumothorax vs closed pneumothorax. The etiology and diagnosis of pneumothorax, and the management of secondary spontaneous pneumothorax are discussed separately. Other signals that the problem may be a collapsed lung are: Women with catamenial pneumothorax have recurrent episodes of pneumothorax that occur within 72 hours before or after the start of menstruation.
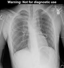
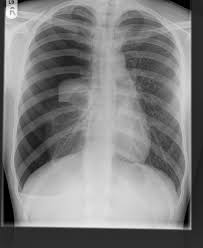
Pneumothorax And Pneumomediastinum In Covid 19 A Case Series The American Journal Of The Medical Sciences from els-jbs-prod-cdn.jbs.elsevierhealth.com A collapsed lung requires immediate medical care. Other signals that the problem may be a collapsed lung are: Patients with a pneumothorax typically report dyspnoea and chest pain. In a healthy body, the lungs are touching the walls of the chest. Pneumothorax is classified as spontaneous or traumatic. A pneumothorax is commonly known as a collapsed lung. A pneumothorax is an abnormal collection of air in the pleural space between the lung and the chest wall. This air pushes on the outside of your lung and makes it collapse.
Air can find its way into the pleural space when.
Patients with a pneumothorax typically report dyspnoea and chest pain. Pneumothoraces can be even further classified as simple, tension, or open. Pneumothorax is defined as the presence of air or gas in the pleural cavity (ie, the potential space between the visceral and parietal pleura of the lung), which can impair oxygenation and/or. In a healthy body, the lungs are touching the walls of the chest. The definition of a pneumothorax is an accumulation of air outside the lungs, but inside the chest wall. It is reasonably common and has many different causes. A pneumothorax is a collection of air outside the lung but within the pleural cavity. A pneumothorax can be a complete lung collapse or a collapse of only a portion of the lung. A pneumothorax occurs when air leaks into the space between the lung and chest wall (called the pleural space). This air pushes on the lung, which makes it collapse. Also known as pneumothorax, collapsed lung is a rare condition that may cause chest pain and make it hard to breathe. A large pneumothorax can squash the lung and cause it to collapse. This is termed spontaneous pneumothorax.
Filmový Festival Karlovy Vary / Karlovy Vary Film Festival: Czechs, films and borrowed ... : Jun 29, 2021 · filmový festival karlovy vary zahájí světová premiéra filmu zátopek aktualizace: . Organizátoři sice museli posunout obvyklý termín z července na srpen, s festivalem to ale letos vypadá nadějně. In 2021, kviff returns to karlovy vary in full power, with 12 premieres of feature and documentary films in the crystal globe competition. Jun 29, 2021 · filmový festival karlovy vary zahájí světová premiéra filmu zátopek aktualizace: Srpna 2019 jsou václav neužil a martha issová, představitelé manželů zátopkových, při natáčení filmu zátopek. Karlovy vary žijí bohatým kulturním životem a každý rok se tu konají světově proslulé festivaly. Jun 29, 2021 · filmový festival karlovy vary zahájí světová premiéra filmu zátopek aktualizace: Jun 04, 2021 · „snažili jsme se opět připravit bohatý program určený všem věkovým kategoriím. Karlovy vary žijí bohatým kulturním životem a ...
Alton Brown Prime Rib - Christmas Prime Rib Alton Brown - Boneless Prime Rib Roast ... : Then i discovered this prime rib recipe from alton brown of the food network. . Bbq pork ribs in mississippi that brown eats over pancakes; I'm using a tagine and wire rack in the tagine. Food network host alton brown posted a series of crazed food tweets on the eve of the election, delighting his followers. But i want to have roasted whole potatoes done at the same time my family made waverly's prime rib from the site and we didn't get much jus either (for the same reason), but no one was complaining. Prime rib roast, main ingredient: Alton brown prime rib recipe. But i want to have roasted whole potatoes done at the same time my family made waverly's prime rib from the site and we didn't get much jus either (for the same reason), but no one was complaining. The ribs themselves yield about 1/3 to 1/4 of their weight as edible meat. View top rated alton br...
Best Cargo Space Minivan : 2016 GMC Savana Reviews - Research Savana Prices & Specs ... - And also has the storage and. . The prominence of gas mileage can go one way or the other in the mind of an owner or fleet operator. ⭐use our ranking system to find the safest or most reliable capable powertrains. Hi, i'm looking into buying a minivan but it looks like there isn't enough cargo space. See how today's minivans rank against one another. The dodge caravan has withstood the test of time for decades. Plenty of space for both passengers and cargo. Even transporting food in a minivan lacks a professional look and often means the caterer must come and go several times to carry all the items. See what cars are on the consumer reports list of tested vehicles that provide the best combination of cargo capacity and fuel economy. Which cargo vans have the best gas mileage? Small cargo vans are also great options for living on the road. ...
Komentar
Posting Komentar